Cat. No. Name Size Price Add Cart
KA4575 Androgen Receptor (Ab-650) Antibody Quote Quote

Overview

Product NameAndrogen Receptor (Ab-650) Antibody
ApplicationsWB, IHC, ELISA
ConcentrationRabbit IgG in phosphate buffered saline (without Mg2+ and Ca2+), pH 7.4, 150mM NaCl, 0.02% sodium azide and 50% glycerol.
ImmunogenThe antiserum was produced against synthesized non-phosphopeptide derived from human Androgen Receptor around the phosphorylation site of serine 650 (T-T-SP-P-T).
Specificity/SensitivityAndrogen Receptor (Ab-650) antibody detects endogenous levels of total Androgen Receptor protein.

Product Information

SourceRabbit
Research AreasReceptors
Alternative NamesANDR; Androgen receptor; DHTR; Dihydrotestosterone receptor; NR3C4
Storage/StabilityStore at -20/1 year
ClonalityPolyclonal
PurificationThe antibody was affinity-purified from rabbit antiserum by affinity-chromatography using epitope-specific immunogen.
Species ReactivityHuman
Application NotesWB: 1:500~1:3000 IHC: 1:50~1:100 ELISA: 1:40000
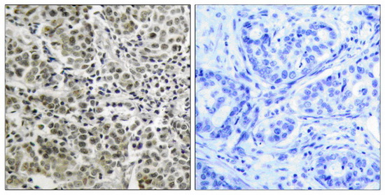
IHC
Immunohistochemistry analysis of paraffin-embedded human prostate carcinoma tissue, using Androgen Receptor (Ab-650) Antibody. The picture on the right is treated with the synthesized peptide.
ReferencesLubahn D.B., Mol. Endocrinol. 2:1265-1275(1988). Lubahn D.B., Proc. Natl. Acad. Sci. U.S.A. 86:9534-9538(1989). Govindan M.V.; Mol. Endocrinol. 4:417-427(1990).
Please click here to fill online order form, and we will make sure to supply you product with detail information. This process usually takes between 24 to 48 hours, depending on products stock avaliability. All inquires and subsequent projects are handled in the strictest confidence and will be backed by a confidentiality agreement if required.
KareBayTM provides scientists and clinicians with a wide range of biotechnological products and science lab supplies for chemical research and analyzing life processes. KareBay's extensive capabilities include commercializing reagents and kits, manufacturing biotech products and providing contract research services to organizations worldwide. Our many global labs, offices, and business partners enable KareBay to extend its products and services to its customer base around the world.

Our products are used for research, laboratory and further evaluation purposes. They are not for human use.