Cat. No. Name Size Price Add Cart
KA4124 BIK (Ab-33) Antibody Quote Quote

Overview

Product NameBIK (Ab-33) Antibody
ApplicationsWB, IHC
ConcentrationRabbit IgG in phosphate buffered saline (without Mg2+ and Ca2+), pH 7.4, 150mM NaCl, 0.02% sodium azide and 50% glycerol.
ImmunogenThe antiserum was produced against synthesized non-phosphopeptide derived from human BIK around the phosphorylation site of threonine 33 (G-M-T-D-S).
Specificity/SensitivityBIK (Ab-33) antibody detects endogenous levels of total BIK protein.

Product Information

SourceRabbit
Research AreasCancer/Apoptosis
Alternative NamesApoptosis inducer NBK, BIKLK, BIP1, BP4, Bcl-2 interacting killer, NBK
Storage/StabilityStore at -20/1 year
ClonalityPolyclonal
PurificationThe antibody was affinity-purified from rabbit antiserum by affinity-chromatography using epitope-specific immunogen.
Species ReactivityHuman
Application NotesWB: 1:500~1:3000 IHC: 1:50~1:100 IF: 1:100~1:500 ELISA: 1:10000
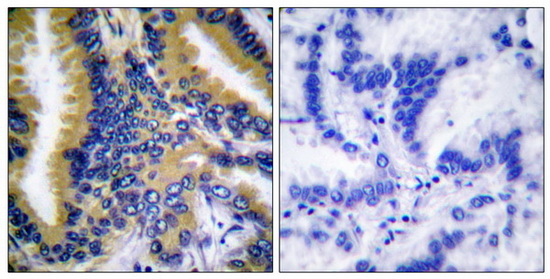
IHC
Immunohistochemical analysis of paraffin-embedded human breast carcinoma tissue using BIK (Ab-33) antibody (#B0053). The picture on the right is treated with the synthesized peptide.
IF
Immunofluorescence analysis of HuvEc cells, using BIK (Ab-33) antibody (#B0053). The picture on the right is treated with the synthesized peptide.
ReferencesSulekha Verma, J. Biol. Chem., Feb 2001; 276: 4671 - 4676. Yan M. Li, Cancer Res., Nov 2003; 63: 7630 - 7633. Malti Nikrad, Mol. Cancer Ther., Mar 2005; 4: 443 - 449. Feng Dong, Infect. Immun., Mar 2005; 73: 1861 - 1864. Hiroo Ueno, Mol. Biol. Cell, Feb 2000; 11: 735. Hidenori Hase, J. Biol. Chem., Nov 2002; 277: 46950 - 46958. Yasuyuki Hirashima, J. Biol. Chem., Jul 2003; 278: 26793 - 26802.
Please click here to fill online order form, and we will make sure to supply you product with detail information. This process usually takes between 24 to 48 hours, depending on products stock avaliability. All inquires and subsequent projects are handled in the strictest confidence and will be backed by a confidentiality agreement if required.
KareBayTM provides scientists and clinicians with a wide range of biotechnological products and science lab supplies for chemical research and analyzing life processes. KareBay's extensive capabilities include commercializing reagents and kits, manufacturing biotech products and providing contract research services to organizations worldwide. Our many global labs, offices, and business partners enable KareBay to extend its products and services to its customer base around the world.

Our products are used for research, laboratory and further evaluation purposes. They are not for human use.