Cat. No. Name Size Price Add Cart
KA4100 EGFR (Ab-678) Antibody Quote Quote

Overview

Product NameEGFR (Ab-678) Antibody
ApplicationsWB, IHC
ConcentrationRabbit IgG in phosphate buffered saline (without Mg2+ and Ca2+), pH 7.4, 150mM NaCl, 0.02% sodium azide and 50% glycerol.
ImmunogenThe antiserum was produced against synthesized non-phosphopeptide derived from human EGFR around the phosphorylation site of threonine 678 (K-R-TP-L-R).
Specificity/SensitivityEGFR (Ab-678) antibody detects endogenous levels of total EGFR protein.

Product Information

SourceRabbit
Research AreasReceptors
Alternative NamesEC 2.7.10.1, ERBB1, Epidermal growth factor receptor precursor, Receptor protein-tyrosine kinase ErbB-1, kinase EGFR
Storage/StabilityStore at -20/1 year
ClonalityPolyclonal
PurificationThe antibody was affinity-purified from rabbit antiserum by affinity-chromatography using epitope-specific immunogen.
Species ReactivityHuman, Mouse, Rat
Application NotesWB: 1:500~1:3000 IHC: 1:50~1:100 ELISA: 1:40000
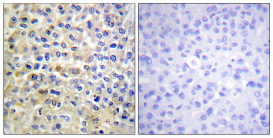
IHC
Immunohistochemical analysis of paraffin-embedded human breast carcinoma tissue using EGFR (Ab-678) antibody (#B0008). The picture on the right is treated with the synthesized peptide.
ReferencesRoland Reinehr, FASEB J, Feb 2003; 10: 1096. Natsumi Yamamoto, J. Cell Sci., Nov 2006; 119: 4623 - 4633. James G. Christensen Clin, Cancer Res., Dec 2001; 7: 4230. Hideki Katayama, AACR Meeting Abstracts, Mar 2004; 2004: 1074. Ali Tadlaoui Hbibi, AACR Meeting Abstracts, Apr 2006; 2006: 1177 Komal Raina, AACR Meeting Abstracts, Apr 2006; 2006: 752 - 753. Thomas Dittmar, FASEB J, Sep 2002; 10.1096.
Please click here to fill online order form, and we will make sure to supply you product with detail information. This process usually takes between 24 to 48 hours, depending on products stock avaliability. All inquires and subsequent projects are handled in the strictest confidence and will be backed by a confidentiality agreement if required.
KareBayTM provides scientists and clinicians with a wide range of biotechnological products and science lab supplies for chemical research and analyzing life processes. KareBay's extensive capabilities include commercializing reagents and kits, manufacturing biotech products and providing contract research services to organizations worldwide. Our many global labs, offices, and business partners enable KareBay to extend its products and services to its customer base around the world.

Our products are used for research, laboratory and further evaluation purposes. They are not for human use.