Cat. No. Name Size Price Add Cart
KA4016 elF4E (Phospho-Ser209) Antibody Quote Quote

Overview

Product NameelF4E (Phospho-Ser209) Antibody
ApplicationsWB, IHC
ConcentrationRabbit IgG in phosphate buffered saline (without Mg2+ and Ca2+), pH 7.4, 150mM NaCl, 0.02% sodium azide and 50% glycerol.
ImmunogenThe antiserum was produced against synthesized phosphopeptide derived from human elF4E around the phosphorylation site of serine 209 (S-G-SP-T-T).
Specificity/SensitivityelF4E (phospho-Ser209) antibody detects endogenous levels of elF4E only when phosphorylated at serine 209.

Product Information

SourceRabbit
Research AreasPhospho-specific
Alternative NamesEukaryotic translation initiation factor 4E, IF4E, eIF-4E, eIF-4F 25 kDa subunit, mRNA cap-binding protein
Storage/StabilityStore at -20/1 year
ClonalityPolyclonal
PurificationThe antibody was affinity-purified from rabbit antiserum by affinity-chromatography using epitope-specific immunogen.
Species ReactivityHuman, Mouse, Rat
Application NotesWB: 1:500~1:3000 IHC: 1:50~1:100 ELISA: 1:20000
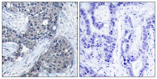
IHC
Immunohistochemical analysis of paraffin-embedded human breast carcinoma tissue, using elF4E (phospho- Ser209) antibody. The picture on the right is treated with the synthesized peptide.
ReferencesLi BD, et al. (1998) Ann Surg; 227(5): 756-763. Altmann M, et al. (1989) Nucleic Acids Res; 17(18): 7520. De Gregorio E, et al. (2001) RNA; 7(1): 106-113. Gu W, et al. (2004) Nucleic Acids Res; 32(15): 4448-4461.
Please click here to fill online order form, and we will make sure to supply you product with detail information. This process usually takes between 24 to 48 hours, depending on products stock avaliability. All inquires and subsequent projects are handled in the strictest confidence and will be backed by a confidentiality agreement if required.
KareBayTM provides scientists and clinicians with a wide range of biotechnological products and science lab supplies for chemical research and analyzing life processes. KareBay's extensive capabilities include commercializing reagents and kits, manufacturing biotech products and providing contract research services to organizations worldwide. Our many global labs, offices, and business partners enable KareBay to extend its products and services to its customer base around the world.

Our products are used for research, laboratory and further evaluation purposes. They are not for human use.