Cat. No. Name Size Price Add Cart
KA5051 ELOVL2 Antibody Quote Quote

Overview

Product NameELOVL2 Antibody
ApplicationsIHC, ELISA
ConcentrationRabbit IgG in phosphate buffered saline (without Mg2+ and Ca2+), pH 7.4, 150mM NaCl, 0.02% sodium azide and 50% glycerol.
ImmunogenThe antiserum was produced against synthesized peptide derived from internal of human ELOVL2.
Specificity/SensitivityELOVL2 antibody detects endogenous levels of total ELOVL2 protein.

Product Information

SourceRabbit
Research AreasIntermediates
Alternative NamesElongation of very long chain fatty acids protein 2
Storage/StabilityStore at -20/1 year
ClonalityPolyclonal
PurificationThe antibody was affinity-purified from rabbit antiserum by affinity-chromatography using epitope-specific immunogen.
Species ReactivityHuman (Identities = 100%, Positives = 100%)
Application NotesIHC: 1:50~1:100 ELISA: 1:10000
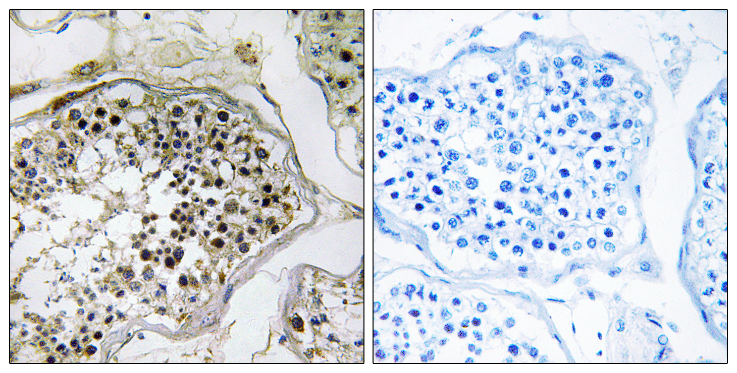
IHC
Immunohistochemistry analysis of paraffin-embedded human testis tissue using ELOVL2 antibody. The picture on the right is treated with the synthesized peptide.
ReferencesThe MGC Project Team; Genome Res. 14:2121-2127(2004).
Please click here to fill online order form, and we will make sure to supply you product with detail information. This process usually takes between 24 to 48 hours, depending on products stock avaliability. All inquires and subsequent projects are handled in the strictest confidence and will be backed by a confidentiality agreement if required.
KareBayTM provides scientists and clinicians with a wide range of biotechnological products and science lab supplies for chemical research and analyzing life processes. KareBay's extensive capabilities include commercializing reagents and kits, manufacturing biotech products and providing contract research services to organizations worldwide. Our many global labs, offices, and business partners enable KareBay to extend its products and services to its customer base around the world.

Our products are used for research, laboratory and further evaluation purposes. They are not for human use.