Cat. No. Name Size Price Add Cart
KA4469 GRB10 (Ab-67) Antibody Quote Quote

Overview

Product NameGRB10 (Ab-67) Antibody
ApplicationsWB, IHC, IF, ELISA
ConcentrationRabbit IgG in phosphate buffered saline (without Mg2+ and Ca2+), pH 7.4, 150mM NaCl, 0.02% sodium azide and 50% glycerol.
ImmunogenThe antiserum was produced against synthesized non-phosphopeptide derived from human GRB10 around the phosphorylation site of tyrosine 67 (S-L-YP-S-A)
Specificity/SensitivityGRB10 (Ab-67) antibody detects endogenous levels of total GRB10 protein.

Product Information

SourceRabbit
Research AreasIntermediates
Alternative NamesGRB10 adaptor protein, GRBIR, Growth factor receptor-bound protein 10, Insulin receptor binding protein GRB-IR, KIAA0207
Storage/StabilityStore at -20/1 year
ClonalityPolyclonal
PurificationThe antibody was affinity-purified from rabbit antiserum by affinity-chromatography using epitope-specific immunogen.
Species ReactivityHuman
Application NotesWB: 1:500~1:3000 IHC: 1:50~1:100 IF: 1:100~1:500 ELISA: 1:5000
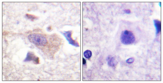
IHC
Immunohistochemistry analysis of paraffin-embedded human brain tissue using GRB10 (Ab-67) antibody. The picture on the right is treated with the synthesized peptide.
IF
Immunofluorescence analysis of HepG2 cells, using GRB10 (Ab-67) antibody. The picture on the right is treated with the synthesized peptide.
ReferencesLiu F., Proc. Natl. Acad. Sci. U.S.A. 92:10287-10291(1995). Angrist M., Oncogene 17:3065-3070(1998). Nagase T., DNA Res. 3:321-329(1996).
Please click here to fill online order form, and we will make sure to supply you product with detail information. This process usually takes between 24 to 48 hours, depending on products stock avaliability. All inquires and subsequent projects are handled in the strictest confidence and will be backed by a confidentiality agreement if required.
KareBayTM provides scientists and clinicians with a wide range of biotechnological products and science lab supplies for chemical research and analyzing life processes. KareBay's extensive capabilities include commercializing reagents and kits, manufacturing biotech products and providing contract research services to organizations worldwide. Our many global labs, offices, and business partners enable KareBay to extend its products and services to its customer base around the world.

Our products are used for research, laboratory and further evaluation purposes. They are not for human use.