Cat. No. Name Size Price Add Cart
KA4111 Opioid Receptor (Ab-375) Antibody Quote Quote

Overview

Product NameOpioid Receptor (Ab-375) Antibody
ApplicationsWB, IHC
ConcentrationRabbit IgG in phosphate buffered saline (without Mg2+ and Ca2+), pH 7.4, 150mM NaCl, 0.02% sodium azide and 50% glycerol.
ImmunogenThe antiserum was produced against synthesized non-phosphopeptide derived from human Opioid Recepto around the phosphorylation site of serine 375 (H-P-S-T-A).
Specificity/SensitivityOpioid Receptor (Ab-375) antibody detects endogenous levels of total Opioid Recepto protein.

Product Information

SourceRabbit
Research AreasNeuroscience
Alternative NamesMOR, MUOR1, Mu-type opioid receptor, OPRM, OPRM1, Opioid receptor B, ROR-B
Storage/StabilityStore at -20/1 year
ClonalityPolyclonal
PurificationThe antibody was affinity-purified from rabbit antiserum by affinity-chromatography using epitope-specific immunogen.
Species ReactivityHuman, Mouse, Rat
Application NotesWB: 1:500~1:3000 IHC: 1:50~1:100 ELISA: 1:20000
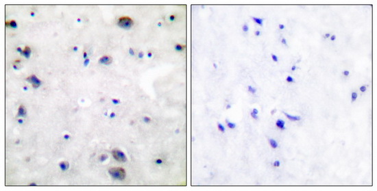
IHC
Immunohistochemical analysis of paraffin-embedded human brain tissue using Opioid Receptor (Ab-375) antibody (#B0022). The picture on the right is treated with the synthesized peptide.
ReferencesSonia Terrillon, Mol. Endocrinol., Apr 2003; 17: 677. Raymond Dingledine, Pharmacol. Rev., Mar 1999; 51: 7. H Ruskoaho, Pharmacol. Rev., Dec 1992; 44: 479. Davide Ragozzino, J. Neurosci., Oct 2006; 26: 10488 - 10498.
Please click here to fill online order form, and we will make sure to supply you product with detail information. This process usually takes between 24 to 48 hours, depending on products stock avaliability. All inquires and subsequent projects are handled in the strictest confidence and will be backed by a confidentiality agreement if required.
KareBayTM provides scientists and clinicians with a wide range of biotechnological products and science lab supplies for chemical research and analyzing life processes. KareBay's extensive capabilities include commercializing reagents and kits, manufacturing biotech products and providing contract research services to organizations worldwide. Our many global labs, offices, and business partners enable KareBay to extend its products and services to its customer base around the world.

Our products are used for research, laboratory and further evaluation purposes. They are not for human use.