Cat. No. Name Size Price Add Cart
KA2686 P19 INK4d Antibody Quote Quote

Overview

Product NameP19 INK4d Antibody
ApplicationsIHC, ELISA
ConcentrationRabbit IgG in phosphate buffered saline (without Mg2+ and Ca2+), pH 7.4, 150mM NaCl, 0.02% sodium azide and 50% glycerol.
ImmunogenThe antiserum was produced against synthesized peptide derived from internal of human P19 INK4d.
Specificity/SensitivityP19 INK4d antibody detects endogenous levels of total P19 INK4d protein.

Product Information

SourceRabbit
Research AreasCell Cycle
Alternative NamesCyclin-dependent kinase 4 inhibitor D, p19-INK4d, CDKN2D
Storage/StabilityStore at -20/1 year
ClonalityPolyclonal
PurificationThe antibody was affinity-purified from rabbit antiserum by affinity-chromatography using epitope-specific immunogen.
Species ReactivityHuman (Identities = 100%, Positives = 100%)
Application NotesIHC: 1:50~1:100 ELISA: 1:40000
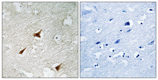
IHC
Immunohistochemistry analysis of paraffin-embedded human brain tissue, using P19 INK4d antibody. The picture on the right is treated with the synthesized peptide.
ReferencesOkuda T., Genomics 29:623-630(1995). Chan F.K.M., Mol. Cell. Biol. 15:2682-2688(1995). Guan K.L., Mol. Biol. Cell 7:57-70(1996).
Please click here to fill online order form, and we will make sure to supply you product with detail information. This process usually takes between 24 to 48 hours, depending on products stock avaliability. All inquires and subsequent projects are handled in the strictest confidence and will be backed by a confidentiality agreement if required.
KareBayTM provides scientists and clinicians with a wide range of biotechnological products and science lab supplies for chemical research and analyzing life processes. KareBay's extensive capabilities include commercializing reagents and kits, manufacturing biotech products and providing contract research services to organizations worldwide. Our many global labs, offices, and business partners enable KareBay to extend its products and services to its customer base around the world.

Our products are used for research, laboratory and further evaluation purposes. They are not for human use.