Cat. No. Name Size Price Add Cart
KA3182 S100 A1 Antibody Quote Quote

Overview

Product NameS100 A1 Antibody
ApplicationsWB, IHC
ConcentrationRabbit IgG in phosphate buffered saline (without Mg2+ and Ca2+), pH 7.4, 150mM NaCl, 0.02% sodium azide and 50% glycerol.
ImmunogenThe antiserum was produced against synthesized peptide derived from human S100 A1.
Specificity/SensitivityS100 A1 antibody detects endogenous levels of total S100 A1 protein.

Product Information

SourceRabbit
Research AreasCytoskeletal
Alternative NamesS100-ALPHA , S100 CALCIUM-BINDING PROTEIN A1
Storage/StabilityStore at -20/1 year
ClonalityPolyclonal
PurificationThe antibody was affinity-purified from rabbit antiserum by affinity-chromatography using epitope-specific immunogen.
Species ReactivityHuman, Mouse, Rat
Application NotesWB: 1:500~1:3000 IHC: 1:50~1:100 IF: 1:100~1:500 ELISA: 1:20000
WB
Western blot analysis of extracts from A549 cells, using S100 A1 antibody (#C0318). The lane on the right is treated with the synthesized peptide.

Western blot analysis of extracts from 293 cells (Lane 2), using S100 A1 Antibody. The lane on the left is treated with synthesized peptide.
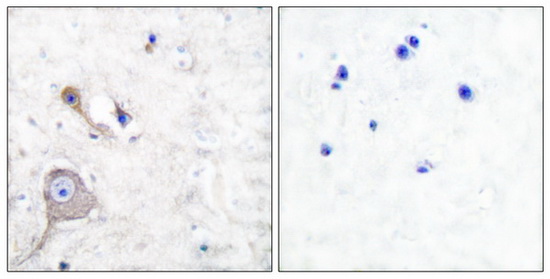
IHC
Immunohistochemical analysis of paraffin-embedded human brain tissue using S100 A1 antibody (#C0318). The picture on the right is treated with the synthesized peptide.
IF
Immunofluorescence analysis of A549 cells, using S100 A1 antibody (#C0318). The picture on the right is treated with the synthesized peptide.
ReferencesPatrick Most, J. Biol. Chem., Nov 2003; 278: 48404 - 48412. Miki Okada, J. Biol. Chem., Feb 2004; 279: 4221 - 4233. Melanie Boerries, Mol. Cell. Biol., Jun 2007; 27: 4365 - 4373. Patrick Most, J. Clin. Invest., Dec 2004; 114: 1550 - 1563.
Please click here to fill online order form, and we will make sure to supply you product with detail information. This process usually takes between 24 to 48 hours, depending on products stock avaliability. All inquires and subsequent projects are handled in the strictest confidence and will be backed by a confidentiality agreement if required.
KareBayTM provides scientists and clinicians with a wide range of biotechnological products and science lab supplies for chemical research and analyzing life processes. KareBay's extensive capabilities include commercializing reagents and kits, manufacturing biotech products and providing contract research services to organizations worldwide. Our many global labs, offices, and business partners enable KareBay to extend its products and services to its customer base around the world.

Our products are used for research, laboratory and further evaluation purposes. They are not for human use.