Cat. No. Name Size Price Add Cart
KA3677 Tubulin Quote Quote

Overview

Product NameTubulin
ApplicationsWB, IHC, IF, ELISA
ConcentrationRabbit IgG in phosphate buffered saline (without Mg2+ and Ca2+), pH 7.4, 150mM NaCl, 0.02% sodium azide and 50% glycerol.
ImmunogenThe antiserum was produced against synthesized peptide derived from C-terminal of human Tubulin
Specificity/SensitivityTubulin

Product Information

SourceRabbit
Research AreasCytoskeletal
Alternative NamesAlpha-tubulin 1, TBA1, TUBA1, Testis-specific alpha- tubulin, Tubulin H2-alpha, Tubulin alpha-1 chain
Storage/StabilityStore at -20/1 year
ClonalityPolyclonal
PurificationThe antibody was affinity-purified from rabbit antiserum by affinity-chromatography using epitope-specific immunogen.
Species ReactivityHuman Mouse Rat
Application NotesWB: 1:500~1:3000 IHC: 1:50~1:100 IF: 1:100~1:500 ELISA: 1:5000
WB
Western blot analysis of extracts from MCF7,COLO and HepG2 cells, using Tubulin
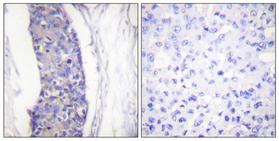
IHC
Immunohistochemistry analysis of paraffin-embedded human breast carcinoma tissue using Tubulin
IF
Immunofluorescence analysis of NIH/3T3 cells, using Tubulin
ReferencesZhenfeng Zhang et al. Human Bocavirus NP1 Inhibits IFN-
Please click here to fill online order form, and we will make sure to supply you product with detail information. This process usually takes between 24 to 48 hours, depending on products stock avaliability. All inquires and subsequent projects are handled in the strictest confidence and will be backed by a confidentiality agreement if required.
KareBayTM provides scientists and clinicians with a wide range of biotechnological products and science lab supplies for chemical research and analyzing life processes. KareBay's extensive capabilities include commercializing reagents and kits, manufacturing biotech products and providing contract research services to organizations worldwide. Our many global labs, offices, and business partners enable KareBay to extend its products and services to its customer base around the world.

Our products are used for research, laboratory and further evaluation purposes. They are not for human use.